
✨ Hi! I'm Eshaal, a young adult based in NYC who's interested in medicine, society/self, and international affairs. Welcome to my writing space!
The thumbnail is my own photo :)

TABLE OF CONTENTS
We have billions of neurons. Billions! They're firing like crazy right now. Hundreds of thousands of them per second.
We're humans with a plethora of functions to carry out. Thus, we have this giant circuit of neurons... that we are utterly perplexed by.
Neuroscience is one of the greatest modern mysteries that we are increasingly devoting new methods to. When something goes wrong neurally/neuronally, it's not exactly easy to pinpoint what is going on. The neurons are delicate. You want to be able to observe neurons firing live, making studying the overlaps between the biochemical, the physical, the psychological, and the less tangible (brain injuries can do some WEIRD things) quite difficult.
But when you're tackling something so complex, you'll probably benefit from referring to a simpler model first. We test programs on cities before making them federal regulations. We take PCs and cars apart to inspect their parts. Neurons, required for you to tell your body to type or look somewhere or think, work like a giant water bucket chain: each will pass on chemical and electric signals to the next in patterns or directions related to their purpose in the moment.
But then you have overlapping functions. Bajillions of pathways. Hundreds of proteins for each little part of the signaling process. If ANY of these myriad of factors stop working, the results can be catastrophic; the nervous system is delicate and wide-ranging. Imbalances can cause anything from depression to degeneration to paralysis.
How do we simplify that?
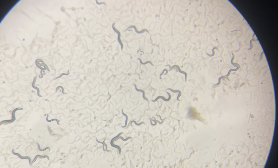
In neurobiology, we use model organisms - organisms that serve as evolutionary snapshots and have features that make them particularly easy to study.
My current favorite being the C.elegans worm.

302 neurons. That's all it takes. For this microscopic worm to feel, move, and react. It is the simplest neural system that works like ours.
Isn't that crazy?
We are so interconnected to all the life forms that came before us and all the life forms that will come after. And not just by way of our genome similarities (yes, yes, we share over half our DNA with bananas, flies, and so on...).
I spend lots of time thinking about what fundamentally makes us people. Where life originates. Where is the line between living and dying? One part of me believes it is in spirit, in philosophy, in the humane, but an even bigger part of me thinks that there has to be some physical foundation for it.
In some profound way I can affect the way I think by way of changing my environment. I can eat certain things to get my brain to perform at a better capacity. When I boop a C.elegans worm under a microscope, I can see it immediately shift position in a reaction.
On the other hand, there are some incredibly abstract things about my mind and lived experience that are harder to find a cellular basis for (YET!). I don't remember the day in my childhood where I touched a plant that made my entire hand itchy, but according to my mom, it happened, and is the reason I have this unusually strong aversion to touching dirt now. Emotions are multifaceted and can cause the body to behave in strange ways.
Where is the cross section for it all?
Where does this metaphysical human existence converge?
I kept suspecting the brain.
And, when I read When Breath Becomes Air by Paul Kalanithi for the first time, I finally felt like I had found the words to my thoughts. When I conduct my long awaited reread I will post the exact quote here, but he speaks of the crossroads that th brain represents. It controls everything. It demands a "Greek god" level of perfection and discipline to study. And it, along with encountering death itself often, represents such a point of convergence. Physical trauma to this brain can change the meaning of one's life, whether by memory or language or mobility.
That also raises a question I've asked myself countless times since and now pose to you: what does your life mean to you? Would you find it worth living if you could not speak? Or remember? Or use your dominant hand? Life draws different sources of meaning for different people. The lifelong singer may suddenly find themself purposeless without the ability to command their voice, while someone finding their calling as a surgeon may see their life to be in their hands. All controlled by this brain.
And we still haven't mapped it in its entirety.
We are still pushing to learn what to do when it breaks.
I spend whatever time I can in a C.elegans-based lab hunting down the map for a specific protein complex in neuronal membranes (long story short: they are the reason vesicles - little "bubbles" of signals, so to speak - can fuse with the recipient membrane at all). But in a search for hands-on scientific experience and some neuro-based answers, I've learned one certain thing: every answer we find within this field will only open up many more questions.
Because I've worked with it on many different ends. The worm observing under a microscope. The online databases and sequence comparison. The accounts of neurosurgeons who describe what I can only call spiritual experiences in intense discipline yet in the wondrous mystery of the brain.
And just seeing the pounds of publications on these 302 worm neurons alone - how much is left to discover about THEM - makes me feel like I'm standing at the foot of this hauntingly beautiful mountain.
Where at the peak, somewhere, there lies some explanation for us. You. Me.
It's a pursuit without end.
In Kalanithi's words, "an asymptote toward which you are ceaselessly striving."
It's tough to say at 19 that I've found my calling for sure. After all, there are many other mysteries in this world to explore.
But I have to say... this is the field that really gets my own synapses going.
It's what makes me excited to do basic plate pours in the lab, let alone to watch little creatures swirl across a plate in real time.
If we can crack a piece of the circuitry in them, we can start figuring out our own functions and disorders. We can start to hear the echoes of pennies we throw into the abyss of Alzheimer's, schizophrenia, or Parkinson's.
And that's where I want to stand. At the peak of medical/scientific discipline, at the cutting edge of the known, and at the cusp of wonder of the unknown.
We'll have to start super small.
...microscopically small!
✨ Thank you again for reading! If you'd like to be notified the next time I update, feel free to fill out the form below :) Please note that this will be a manually updated mailing list, so you may see your confirmation email a few days after signing up.